Tansiyon Pnömotoraks Belirtileri ve Tedavisi
Tansiyon pnömotoraks, göğüs boşluğunda hava birikmesi ile oluşan acil bir durumdur. Akciğerlerin sıkışmasına yol açarak ciddi sağlık sorunlarına neden olabilir. Belirtileri arasında nefes darlığı ve göğüs ağrısı yer alır. Erken tanı ve müdahale hayati önem taşır.
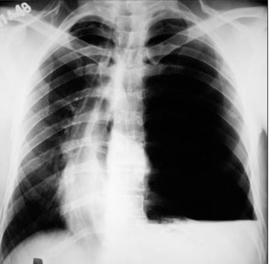
Tansiyon Pnömotoraks Nedir?Tansiyon pnömotoraks, göğüs boşluğunda hava birikmesi sonucu meydana gelen ve akciğerlerin tamamen sıkışmasına yol açabilen acil bir durumdur. Bu durum, toraks içindeki basıncın yükselmesine neden olur ve kalp ile büyük damarların sıkışmasına sebep olabilir. Tansiyon pnömotoraks, genellikle travma, akciğer hastalıkları veya cerrahi müdahale sonrası gelişir. Tansiyon Pnömotoraks Belirtileri Tansiyon pnömotoraksın belirtileri, hastalığın ciddiyetine ve hızına bağlı olarak değişiklik gösterir. Genel olarak görülen belirtiler şunlardır:
Tansiyon Pnömotoraksın Nedenleri Tansiyon pnömotoraksın oluşumuna neden olabilecek çeşitli faktörler bulunmaktadır. Bu faktörler arasında:
Tansiyon Pnömotoraksın Teşhisi Tansiyon pnömotoraksın teşhisi, klinik muayene ve görüntüleme yöntemleriyle konur. Doktor, hastanın semptomlarını değerlendirir ve aşağıdaki yöntemlerle tanıyı kesinleştirir:
Tansiyon Pnömotoraksın Tedavisi Tansiyon pnömotoraks acil bir durum olduğu için hızlı bir tedavi gerektirir. Tedavi yöntemleri arasında:
Sonuç Tansiyon pnömotoraks, acil müdahale gerektiren ciddi bir durumdur. Erken tanı ve tedavi, hastanın sağkalımını artırmak için kritik öneme sahiptir. Bu nedenle, belirtiler görüldüğünde derhal tıbbi yardım alınması önerilmektedir. Tansiyon pnömotoraks hakkında daha fazla bilgi edinmek, bireylerin bu durumu önceden tanıyabilmesi ve gerektiğinde hızlıca müdahale edebilmesi açısından önem taşımaktadır. Ek olarak, tansiyon pnömotoraksın önlenmesi için, travmalara karşı dikkatli olunması, akciğer hastalıklarının tedavi edilmesi ve cerrahi girişimler sırasında uygun önlemlerin alınması önerilmektedir. Bu durum, sağlıklı bir yaşam sürdürmek ve acil durumlarda hızlı müdahale edebilmek için önemlidir. |



























.webp)









.webp)
Tansiyon pnömotoraks belirtileri arasında siyanoz, dispne ve hızla artan solunum sayısı yer alıyor. Bu belirtiler acil bir durumun habercisi olabilir. Peki, bu belirtileri yaşayan biri olarak ne yapmalıyım? Acil müdahale gerekliliği hakkında daha fazla bilgi alabilir miyim?
Tansiyon Pnömotoraks Nedir?
Tansiyon pnömotoraks, akciğerdeki hava boşluğunun artması sonucu göğüs boşluğunda basınç artışına neden olan ciddi bir durumdur. Bu durum, akciğerin çökmesine ve kan dolaşımının bozulmasına yol açabilir.
Belirtiler
Bahsettiğiniz gibi siyanoz, dispne (nefes darlığı) ve artan solunum sayısı, tansiyon pnömotoraksın belirgin işaretleridir. Bu belirtiler, vücudun oksijen yetersizliği yaşadığını gösterir ve acil müdahale gerektirir.
Acil Müdahale
Eğer bu belirtileri yaşıyorsanız, hemen bir sağlık kuruluşuna başvurmalısınız. Beklemeden, acil servise gitmek ya da 112'yi aramak hayat kurtarıcı olabilir. Sağlık profesyonelleri, gerekli tanı ve tedavi yöntemlerini uygulayacaklardır.
Hızlı Davranışın Önemi
Bu tür durumlar, zamanla yarışılan acil sağlık sorunlarıdır. Belirtileri göz ardı etmek yerine, derhal profesyonel yardım almak en önemli adımdır. Unutmayın, sağlık her şeyden önemlidir.
Tansiyon pnömotoraks hakkında bu kadar ayrıntılı bilgiye sahip olmak gerçekten önemli. Bunu yaşayan biri olarak, acil müdahalenin hayati tehlike arz edebileceğini ve belirtilerinin ne kadar hızlı fark edilmesi gerektiğini anlıyorum. Özellikle nefes darlığı, siyanoz gibi belirtiler yaşadığında hemen bir sağlık kuruluşuna ulaşmanın gerekliliği çok önemli. Bu tür durumlarda, kalp ve damar sağlığının etkilenebileceği gerçeği insanı gerçekten endişelendiriyor. Acil durumlarda nasıl bir pozisyon almanız gerektiği ve hangi adımların izlenmesi gerektiği konusunda bu bilgiler gerçekten yol gösterici. Başka insanların da bu tür sağlık sorunları hakkında daha fazla bilgi sahibi olması için bu tür bilgilendirmelere ihtiyaç var. Peki, bu belirtileri yaşarken ne yapmalıyız? Hemen acil servise mi gitmeliyiz yoksa ilk yardım uygulamalarıyla mı başlamalıyız?
Tansiyon Pnömotoraks Hakkında Bilgiler
Özsungur, yaşadığınız deneyim gerçekten önemli bir konuya dikkat çekiyor. Tansiyon pnömotoraks, acil bir durum olduğundan, belirtilerini hızlı bir şekilde fark etmek hayati önem taşıyor. Özellikle nefes darlığı ve siyanoz gibi belirtiler ortaya çıktığında, hemen bir sağlık kuruluşuna ulaşmak gereklidir.
Acil Müdahale ve İlk Yardım
Acil servise gitme konusunda, belirtiler ciddiyse ve hızlı bir şekilde kötüleşiyorsa, direkt olarak acil servise yönelmek en doğru adım olacaktır. Ancak, eğer durum biraz daha stabil görünüyorsa, ilk yardım uygulamalarıyla desteklemek de faydalı olabilir.
İlk Yardım Uygulamaları
Nefes darlığı yaşıyorsanız, rahat bir pozisyonda oturmak veya yarı oturur pozisyonda kalmak, nefes almayı kolaylaştırabilir. Ayrıca, acil servise ulaştığınızda, sağlık personeline yaşadığınız belirtileri açık bir şekilde ifade etmek, doğru müdahale için kritik öneme sahiptir.
Bilgilendirme ve Farkındalık
Diğer insanların da bu tür sağlık sorunları hakkında bilgi sahibi olması, toplumsal sağlık açısından oldukça önemlidir. Bilgilendirme çalışmaları, acil durumlarda hızlı müdahale ve doğru adımlar atılması için farkındalığı artırabilir. Sizin gibi deneyimlerini paylaşan bireylerin katkıları, bu bilgilendirmelerde büyük bir değer taşımaktadır.